Moderne Therapieverfahren für eine schnelle Genesung

In unser Tierklinik können wir dank des Labors und modernster Geräte eine Vielzahl an Therapien anbieten. Diese reichen von kleineren Eingriffen wie Zahnkorrekturen bis hin zu größeren Operationen. Hier finden Sie einen Überblick über die angebotenen Leistungen:


endoskopische kastration

Endoskopische Kastration

Eine schonende Methode zur Entfernung der Eierstöcke oder der gesamten Gebärmutter.

arthroskopie

Arthroskopie

Ein minimal-invasiver Eingriff, bei dem mit Hilfe eines Endoskops die Einsicht in ein Gelenk ermöglicht wird.

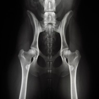
hüftgelenkdysplasie

Hüftgelenksdysplasie

Das HD-Röntgen ist ein wichtiges Verfahren, um Veränderungen der Hüftgelenke zu erkennen. 

Orthopädische, Knochen-, Gelenks-Chirurgie

Orthopädische, Knochen- &

Gelenks-Chirurgie

Auch bei Kreuzbandrissen, Knorpeldefekten sowie bei Frakturbeandlungen bieten wir die passenden Opeartions- und Behandlungsmethoden an. 

weichteilchirurgie

Weichteilchirurgie

Hierzu gehört nicht nur das große Gebiet der Bauchchirurgie, sondern auch alle anderen Operationen, die nicht am Skelett stattfinden. 

blasensteinoperationen

Blasensteinoperation 

Das Blaseninnere wird mit einer endoskopischen Kamera untersucht, um krankhafte Veränderungen der Schleimhaut beurteilen und mögliche Steine entfernen zu können.

auge katze

Augenheilkunde für Tiere

Defekte am Auge verlangen eine eingene Diagnostik und Therapie.

zahnbehandlung bei hund

Zahnbehandlungen bei Tieren

Die Zahngesundheit spielt für den gesamten Organismus eine besonders große Rolle. Eine regelmäßige Kontrolle ist daher unerlässlich.

röntgenbild pfote

Röntgen

Eine der wichtigsten Methoden, um richtige Diagnosen zu treffen. Dank strahlenschutz-technischer Maßnahmen ist diese Untersuchungs-methode schonend.

ekg

EKG – Elektrokardiogramm

Die elektrischen Aktivitäten des Herzmuskels werden hierbei aufgezeichnet. Dadurch lassen sich viele Erkrankungen erkennen.

stationäre aufnahme hund

Stationäre Aufnahme 

 Unsere Tierklinik bietet die Möglichkeit, Patienten stationär aufzunehmen. Für Hunde und Katzen sind hierfür selbstverständlich getrennte Räumlichkeiten vorhanden. Zusätzlich sorgt ein Quarantäneraum für Sicherheit im Falle ansteckender, infektiöser Krankheiten.

implantat gelenk

Goldimplantation

Diese Methode wird in erster Linie zur dauerhaften Schmerztherapie bei chronischen Gelenksbeschwerden eingesetzt.